オフィスホワイトニングの施術を行うためには当院での検診+歯石取り(保険適用4~5,000円程)又は、事前チェック(自費診療3,300円)を受けていただく必要があります。お電話でのご予約をお願いいたします。

歯の色を白くするホワイトニングはエナメル質に歯の漂白剤を浸透させ、ステインを分解することで、歯の色を白くすることができます。
ホワイトニングの方法は2通りに分かれます。それぞれ「ホームホワイトニング」と「オフィスホワイトニング」です。
2つの方法の特徴、進め方については、次項に説明がございます。ここでは、それぞれのホワイトニング方法で使う薬剤の違いについての説明をしています。
また、当院にはホワイトニングコーディネーターが在籍しております。




ホワイトニングの効果は処置が終了した時点で最も強く表れます。しかし、普段の食生活を送る中で再び歯に着色がおき、ホワイトニングを行う前の歯の色に少しずつ、戻ってしまいます。
そこで、定期的にホワイトニングとメインテナンス(PMTC)を行うことで、歯の色を白く保つことができます。歯の着色のしやすさにもよりますが、定期健診にお越しにいただきました際に再着色の度合に合わせて、年に1~3回のホワイトニングをおすすめしています。

当院ではオパールエッセンスGOの取り扱いを開始いたしました。
口腔内の体温により歯列に合わせ形が変形するトレイなので簡単に扱うことができます。
また、使い捨てとなっているため、使用後のお手入れもなく、場所を選ばず好きなタイミングでホワイトニングを行うことが可能です。

| 前から4番目の歯まで | 15,000円 |
|---|---|
| 前から3番目の歯まで | 12,000円 |
| 10日間分 | 20,000円 |
|---|
※税込み価格表示です
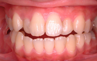
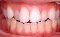
コーヒー・タバコ等の着色は別にして、一度白くなった歯はほぼその色を保ち、もとの色に戻ることはほとんどありません。
食事会・面接・結婚式の前に特にお勧めです。クリーニング・スケーリングだけでも白くなることがありますので、まずはご相談下さい。